Bọc răng sứ
Bọc răng sứ là kỹ thuật phục hình răng bằng vật liệu sứ giúp răng cải thiện thẩm mỹ, phục hồi chức năng ăn nhai. Màu sắc của răng sứ giống như răng thật, giúp bạn trở nên tự tin hơn với nụ cười tự nhiên, rạng rỡ.

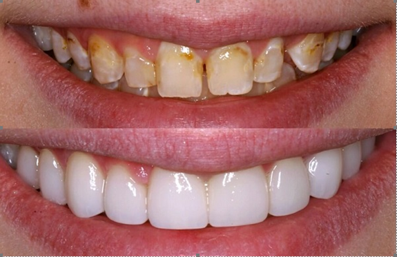
Khi nào cần bọc răng sứ?
Bọc răng sứ là kỹ thuật sử dụng mão răng sứ để chụp lên răng thật nhằm che đi khuyết điểm hoặc hư tổn để tái tạo lại màu sắc, hình thể của răng, cải thiện độ thẩm mỹ và chức năng ăn nhai cho răng. Bọc răng sứ có thể áp dụng cho nhiều trường hợp đa dạng như:
- Không hài lòng về màu sắc và hình dạng của răng hiện tại.
- Răn bị xỉn màu, nhiễm kháng sinh nặng không thể tẩy trắng được.
- Thể hình răng xấu, bị sứt mẻ, gãy vỡ không còn nguyên vẹn ở trạng thái nguyên vẹn như ban đầu.
- Răng bị hư hỏng do sâu răng, mòn men răng, viêm tuỷ.
- Răng bị hô, khấp khểnh, mọc lệch…
- Răng đã chữa tuỷ
- Bị mất răng

Ưu điểm của bọc răng sứ thẩm mỹ
Do răng sứ được thiết kế với màu sắc và hình dáng đẹp hơn răng thật vì thế sau khi bọc răng sứ thẩm mỹ bạn có thể khắc phục hoàn hảo những khuyết điểm của răng xấu, giúp cho răng đều, đẹp và sáng bóng hơn. Thậm chí sẽ rất khó phân biệt đâu là răng thật, đâu là răng sứ.
- Tăng khả năng ăn nhai:
Mão răng sứ làm từ chất liệu cứng chắc, có thể chịu được lực ăn nhai tốt vì thế sau khi bọc răng sứ, răng thật không chỉ được bảo vệ mà còn đảm bảo chức năng ăn nhai tốt. Trong trường hợp mất răng, bọc răng sứ bằng cầu răng sứ sẽ giúp khôi phục lại răng đã bị mất, hàm ăn nhai tốt hơn.
- Tuổi thọ lâu:
Răng sứ rất bền, chắc vì vậy có tuổi thọ lâu dài trên cung hàm, có thể lên tới 10-20 năm nếu như được chăm sóc tốt.
- Chi phí hợp lý:
Chi phí bọc răng sứ khác nhau tuỳ theo loại răng sứ mà bạn lựa chọn, tuy nhiên nhìn chung thì khá hợp lý và phù hợp với mức thu nhập của nhiều người.
Thời gian tồn tại của răng sứ
Răng sứ thực chất là phục hình răng giả, có cấu tạo 2 phần chính gồm khung sườn bên trong được làm từ kim loại hoặc bằng sứ nguyên chất, bên ngoài phủ một lớp men sứ mỏng có hình dáng, màu sắc kích thước giống y răng thật.
Thời gian tồn tại của răng sứ trong bao lâu sẽ còn phụ thuộc vào rất nhiều yếu tố như nơi sản xuất răng sứ, chất lượng cùi răng, tình trạng răng miệng hiện tại cũng như loại răng sứ được lựa chọn.
Tình trạng răng miệng hiện tại
Nếu trong trường hợp răng khoẻ mạnh không có vấn đề gì nghiêm trọng về sức khoẻ răng miệng hay tuỷ răng thì tuổi thọ của răng sẽ được duy trì lâu hơn.
Ngược lại nếu trong trường hợp răng đang thường có một số vấn đề bệnh lý và phải chữa tuỷ thì tuổi thọ của răng sẽ ngắn hơn vì tuỷ răng là nguồn sống của một chiếc răng, tuỷ bị tổn thương phải điều trị thì chắc chắn răng sẽ bị vôi hoá và dễ nứt gãy theo thời gian nhanh chóng.
Chất liệu răng sứ
Thời gian tồn tại của răng sứ còn phụ thuộc vào chất liệu răng sứ mà khách hàng lựa chọn. Hiện tại có 2 loại răng sứ được sử dụng phổ biến nhất tại các trung tâm nha khoa đó là răng sứ kim loại và răng toàn sứ.
Với răng sứ kim loại, bên trong làm bằng hợp kim Titan, bên ngoài phủ một lớp sứ cao cấp. Chúng sẽ có tuổi thọ 3-5 năm do dễ bị oxy hoá và đen cổ chân răng sau thời gian sử dụng lâu dài.
Với răng toàn sứ tuổi thọ sẽ cao hơn răng sứ kim loại từ năm 15 năm, ngoài ra hoàn toàn không bị oxy hoá hay gây ra các tác động không tốt tới mô, nướu răng…
Chất lượng cùi răng
Nếu bị mài cùi quá nhiều sẽ ảnh hưởng không tốt tới tuỷ làm bệnh nhân bị ê buốt, nhiều trường hợp cần phải trì hoãn việc bọc răng sứ để lấy tuỷ răng mà chất lượng chưa chắc đã tốt. Ngược lại nếu mài cùi răng ít quá sẽ làm răng sứ không đẹp mà còn dễ bị cộm khớp cắn sau này.
Các loại răng sứ tại Nha Khoa Dr Thuần
- Katana (Nhật Bản): Katana thường được lựa chọn bọc răng sứ thẩm mỹ cho răng cửa vì độ chịu lực của răng sứ này không cao mà vùng răng cửa ít phải chịu lực nhai.
- Ceramil (Đức): Răng sứ Ceramil có xuất sứ từ Đức là quốc gia có nền nha khoa uy tín thế giới, đạt chuẩn về phục hình răng với những khách hàng khó tính nhất. Loại răng sứ này có độ mờ cao, chịu được lực tốt, tính thẩm mỹ cao.
- Emax (Mỹ): Là dòng răng sứ cao cấp, có cấu tạo đặc biệt, phần khung sườn bên trong không phải là hợp kim trong các dòng răng sứ kim loại mà thay vào đó là những sợi gốm sứ thuỷ tinh thuần tuý. Chính vì vậy nó có màu sắc đẹp, tự nhiên như răng thật với độ thấu quang cao.
- Lava (Mỹ): Răng sứ Lavas của Mỹ có mão sứ được nung đúc và phủ lớp sứ cao cấp đảm bảo có độ trong đục đạt chuẩn, giống răng thật đến 99%. Bên cạnh đó loại răng sứ này còn có khả năng chống bám dính và bền màu tốt, không bị ảnh hưởng bởi mảng ố vàng của thực phẩm hoặc nhuộm màu.
Chi phí bọc răng sứ
- Sứ katana: 3 triệu/ 1 răng bảo hành 8 năm
- Sứ Cercon/ Ceramil: 5 triệu/1 răng bảo hành 7 năm
- Sứ Emax: 6 triệu/1 răng bảo hành 10 năm
- Sứ Lavar: 6 triệu/1 răng bảo hành 15 năm
Quy trình bọc răng sứ tại Nha Khoa Dr Thuần
- Bước 1: Khám tổng quan tư vấn
- Bước 2: Vệ sinh răng miệng và gây tê
- Bước 3: Mài răng lấy dấu
- Bước 4: Chế tác răng sứ
- Bước 5: Gắn răng sứ và kiểm tra tổng thể
Bọc răng sứ tại Nha Khoa Dr Thuần
- Nha Khoa Dr Thuần thành lập từ năm 1998 bới Bs CKI Đinh Văn Thuần- Nguyên Phó khoa RHM Bệnh viện Đa Khoa Tỉnh Ninh Bình, hoạt động được 23 năm, nhận được nhiều sự tin tưởng của khách hàng.
- Đội ngũ bác sĩ kinh nghiệm lâu năm, có tay nghề, đều tốt nghiệp từ khoa Răng Hàm Mặt của ĐH Y Hà Nội.
- Nha Khoa sử dụng các loại răng sứ như sau: Katana (Nhật Bản), Ceramil (Đức), Emax (Mỹ), Lavar (Mỹ) đều là các sản phẩm chất lượng, có nguồn gốc rõ ràng.
Mọi chi tiết xin vui lòng liên hệ
NHA KHOA DR THUẦN & CỘNG SỰ
Địa chỉ:
94 Vân Giang, Thành phố Ninh Bình
Hotline 1:
02293 610 222
Hotline 2:
0912 869 838
Email:
nkdrthuan@gmail.com
Website: https://nhakhoadrthuan.com
